Herbert Charles Whitfield, 1883 - 1964
by Brian Stevenson
last updated July, 2021
H.C. Whitfield was a school teacher and amateur microscopist. He joined the Royal Microscopical Society in 1920, and remained an active member through at least 1938. His microscope slides are seen on occasional (Figure 1). They were probably made for his own studies or for exchange with colleagues.

Figure 1.
Microscope slides that were made by Herbert C. Whitfield, probably ca. 1930. Both mounts are thin sections of animals, prepared with a microtome.
 

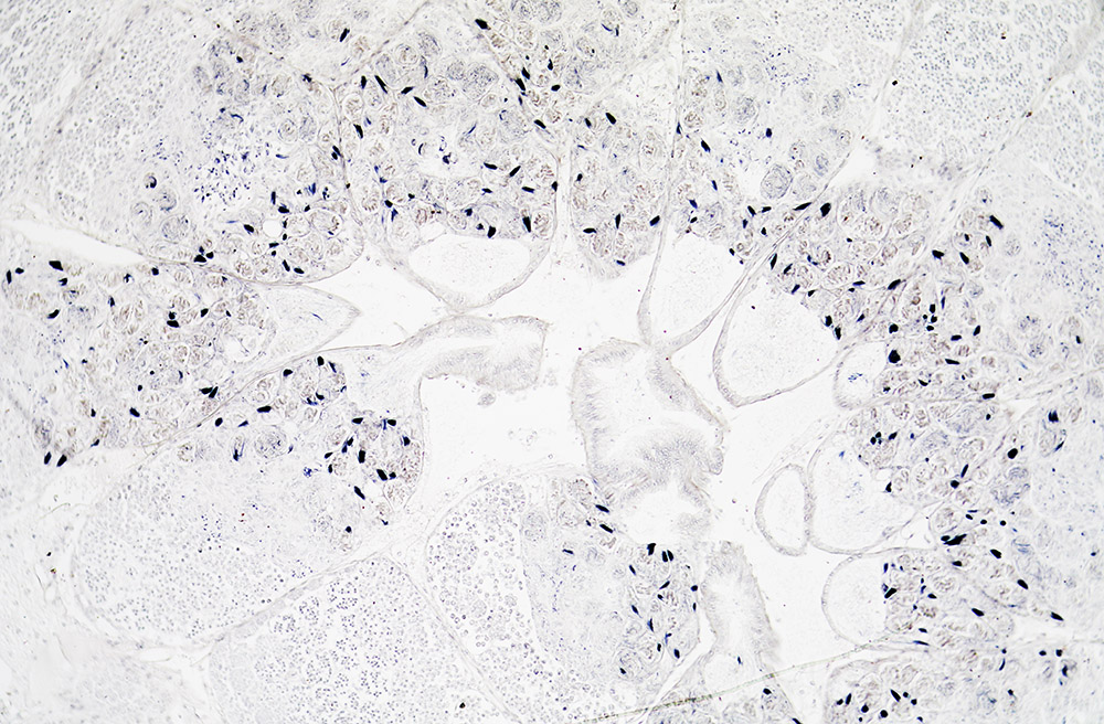
Figure 2.
Magnified details of a H.C. Whitfield slide of "mitosis in testis of cellar beetle(?)". Photographed with a 10x objective lens and C-mounted digital SLR camera on a Leitz Ortholux II microscope.
 

Figure 3.
"Section of slug fed on Sorosp. ha Veronicae" (probably Sorosphaerula veronicae, a fungus that infests Veronica spp. plants), prepared by H.C. Whitfield. Photographed with a 3.5x objective lens and C-mounted digital SLR camera on a Leitz Ortholux II microscope.
 
Herbert Charles Lockhart Whitfield was born on December 5, 1883, in Littlehampton, Sussex, the first child of Henry Charles and Fanny Louisa (née Mills) Whitfield. At the time of Herbert's birth, his father was an assistant in a clothing shop. The family moved several times over the next few years: brother Frank was born in 1885 in Kensington, London, and brother Arthur was born in 1889 in Portsea, Portsmouth, Hampshire. The 1891 census recorded that the father was a "hosier's assistant" (i.e. assistant in a shop that sold socks and stockings). The family was evidently doing well at that time, as they could afford to employ a domestic servant.
The Whitfields remained in Portsmouth, with Henry opening up his own hosiery shop by 1901. The family had prospered to the extent that Herbert and his younger brother, Frank, received training to become school teachers.
Herbert Whitfield moved to London during the early 1900s. The 1911 census listed Herbert as a "certified assistant master", employed by the county council of Battersea, London. He was then boarding with the Falkingham family, whose daughter, Florence, worked as a "typist" for the Board of Education. Herbert and Florence married on July 27, 1912. They had at least one child, Gladys Mabel, born on June 12, 1913.
Herbert was elected to Fellowship in the Royal Microscopical Society on December 15, 1920. During that meeting's conversazione, Whitfield displayed a "photomicrographic projection apparatus", probably a magnifying projector. In 1921, the RMS minutes thanked "Mr. H.C. Whitfield for his kindness in operating the lantern", which may refer to his 1920 apparatus.
He exhibited a number of microscopical objects at meetings of the RMS. Among these were specimens of Epistyllis (a ciliate protozoan) on May 18, 1921, and "The Isle of Wight Bee disease" (a mite, Acapasis woodi, that infests the respiratory system of bees) on October 11, 1923.
The Whitfields moved to Hambledon, Surrey in 1938, then later moved to nearby Whitley. Herbert Whitfield died on January 6, 1964.
 
Resources
England census and other resources, accessed through ancestry.com
Journal of the Royal Microscopical Society (1920) New Fellows, page 105
Journal of the Royal Microscopical Society (1920) Minutes of the meeting of December 15, page 107
Journal of the Royal Microscopical Society (1921) Minutes of the meeting of May 18, page 220
Journal of the Royal Microscopical Society (1923) Minutes of the meeting of October 11, page 491
Journal of the Royal Microscopical Society (1938) Fellows: "1920 Whitfield, Herbert Charles. 6, Kassala-road, Battersea Park, S.W. 11"
Marriage record of Herbert Charles Lockhart Whitfield and Florence Falkingham (1912) Parish records of Christ Church, Battersea, accessed through ancestry.com
Probate of the will of Herbert Charles Whitfield (1964) "Whitfield Herbert Charles Lockhart of Kassamuir Gasden Lane Whitley Surrey died 6 January 1964 at St Lukes Hospital Guildford Probate London 21 February to Florence Whitfield widow. £1613"